Uneven Teeth Treatment in Kukatpally & Kondapur
At Mohan Dental Clinic, we specialize in correcting uneven teeth to give you a straight, balanced, and confident smile. Recognized as one of the best dental clinics in Hyderabad, with branches in Kukatpally and Kondapur, we provide advanced cosmetic and orthodontic solutions tailored to your needs.
If your teeth look crooked, irregular, or uneven in size or alignment, our expert dental team offers customized treatment plans. We use advanced techniques like aligners, veneers, crowns, and smile makeover to improve both the appearance and function of your teeth.
At our clinics in Kukatpally and Kondapur, Hyderabad, we focus on precision, comfort, and natural results, helping you achieve a well-aligned and attractive smile.
Why Choose Mohan Dental Clinic?
- Experienced Cosmetic Dentists
- Advanced Digital Smile Design Technology
- Personalized Treatment Plans
- Painless & Comfortable Procedures
- Affordable Pricing Options
- Clinics located in Kukatpally & Kondapur
PRE-SURGERY SUGGESTIONS
- Maintain proper oral hygiene (brush & floss daily)
- Avoid smoking and tobacco
- Get a complete dental check-up
- Inform your dentist about bite or alignment issues
- Share your expectations clearly
- Follow X-ray or scan instructions if advised
POST-TREATMENT CARE
- Avoid staining foods and drinks for 48 hours
- Do not smoke or use tobacco
- Maintain good oral hygiene
- Use a soft-bristled toothbrush
- Follow dentist’s instructions carefully
- Schedule a final touch-up before the wedding if needed
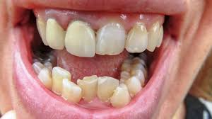
What Are Uneven Teeth?
Bridal smile treatment is a combination of cosmetic dental procedures designed to enhance your smile for your wedding.
It may include:
Uneven teeth refer to teeth that are not properly aligned, symmetrical, or uniform in size and shape, which can affect both appearance and oral function.
This may include:
- Crooked or misaligned teeth
- Uneven tooth sizes or shapes
- Gaps or crowding
- Irregular tooth edges
- Bite alignment problems
At Mohan Dental Clinic, we carefully assess your smile and create a personalized correction plan.
How Can Uneven Teeth Be Fixed?
Treatment depends on the severity and type of unevenness.
Options include:
- Aligners / Braces – Straighten teeth gradually
- Dental Veneers – Improve shape and appearance
- Dental Crowns – Restore damaged or uneven teeth
- Tooth Contouring – Smooth uneven edges
- Smile Makeover – Complete smile transformation
Our goal is to give you a well-aligned, balanced, and natural-looking smile.
