Smile Reshaping Treatment in Kukatpally & Kondapur

  • At Mohan Dental Clinic, we specialize in smile reshaping treatments that transform your smile into a balanced, natural, and attractive look. Recognized as one of the best dental clinics in Hyderabad, with branches in Kukatpally and Kondapur, we provide advanced cosmetic dentistry solutions to redesign and improve your smile appearance.

    If your smile looks uneven, dull, or not well-shaped, our expert dental team carefully evaluates your teeth shape, alignment, gum line, and facial structure to create a personalized smile reshaping plan that enhances your overall appearance.

    At our clinics in Kukatpally and Kondapur, Hyderabad, we use modern cosmetic techniques like digital smile design, veneers, bonding, gum contouring, and orthodontics to reshape your smile naturally and effectively.

Why Choose Mohan Dental Clinic?

  • Experienced Cosmetic Dentists
  • Advanced Digital Smile Design Technology
  • Personalized Treatment Plans
  • Painless & Comfortable Procedures
  • Affordable Pricing Options
  • Clinics located in Kukatpally & Kondapur

PRE-SURGERY SUGGESTIONS

  • Maintain good oral hygiene (brush & floss daily)
  • Avoid smoking and tobacco
  • Inform dentist about medical history
  • Get a full dental evaluation
  • Share your smile goals clearly
  • Follow pre-treatment instruction

POST-TREATMENT CARE

  • Avoid hard and sticky foods for a few days
  • Maintain gentle oral hygiene
  • Use prescribed mouthwash if recommended
  • Avoid smoking and alcohol
  • Attend follow-up visits regularly
  • Follow dentist’s care instructions

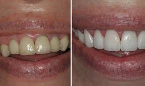
What Is Smile Reshaping?

Smile reshaping is a cosmetic dental procedure that improves the shape, symmetry, and appearance of your smileby correcting multiple aesthetic issues.

It can fix:

  • Uneven teeth shape
  • Crooked or misaligned teeth
  • Gaps between teeth
  • Uneven gum line
  • Small or worn teeth
  • Unbalanced smile appearance

At Mohan Dental Clinic, we create naturally shaped, balanced, and attractive smiles tailored to your face.

How Is Smile Reshaping Done?

Treatment options include:

  • Smile Design Treatment – Full smile planning and transformation
  • Dental Veneers – Improves shape and symmetry
  • Teeth Whitening – Enhances brightness
  • Clear Aligners / Braces – Straightens teeth
  • Gum Contouring – Balances gum line
  • Dental Bonding – Quick cosmetic reshaping

Our goal is to create a perfectly reshaped, confident, and natural smile.


FAQ

What is smile reshaping?

It is a cosmetic dental treatment that improves the shape and appearance of your smile

Is smile reshaping painful?

No, most procedures are painless and comfortable.

How long does it take?

It depends on treatment type—can range from one session to a few weeks.