Gum Over Teeth Treatment in Kukatpally & Kondapur
At Mohan Dental Clinic, we specialize in correcting gum over teeth appearance to help you achieve a balanced, natural, and confident smile. Recognized as one of the best dental clinics in Hyderabad, with branches in Kukatpally and Kondapur, we offer advanced cosmetic gum treatments to improve smile aesthetics and tooth visibility.
If your gums appear to be covering too much of your teeth, making them look short or hidden, our expert dental team provides personalized gum correction treatments. We carefully analyze your gum line, tooth size, and smile structure to design a natural and proportionate smile.
At our clinics in Kukatpally and Kondapur, Hyderabad, we use advanced techniques like laser gum contouring and cosmetic smile design to safely reshape gums and enhance your smile.
Why Choose Mohan Dental Clinic?
- Experienced Cosmetic Dentists
- Advanced Digital Smile Design Technology
- Personalized Treatment Plans
- Painless & Comfortable Procedures
- Affordable Pricing Options
- Clinics located in Kukatpally & Kondapur
PRE-SURGERY SUGGESTIONS
- Maintain good oral hygiene (brush & floss daily)
- Avoid smoking and tobacco
- Inform dentist about medical history
- Get a complete dental evaluation
- Follow pre-treatment instructions
- Share your smile concerns clearly
POST-TREATMENT CARE
- Avoid hot, spicy, and hard foods for a few days
- Maintain gentle oral hygiene
- Use prescribed mouthwash if advised
- Avoid smoking and alcohol
- Do not disturb treated gum area
- Attend follow-up visits regularly
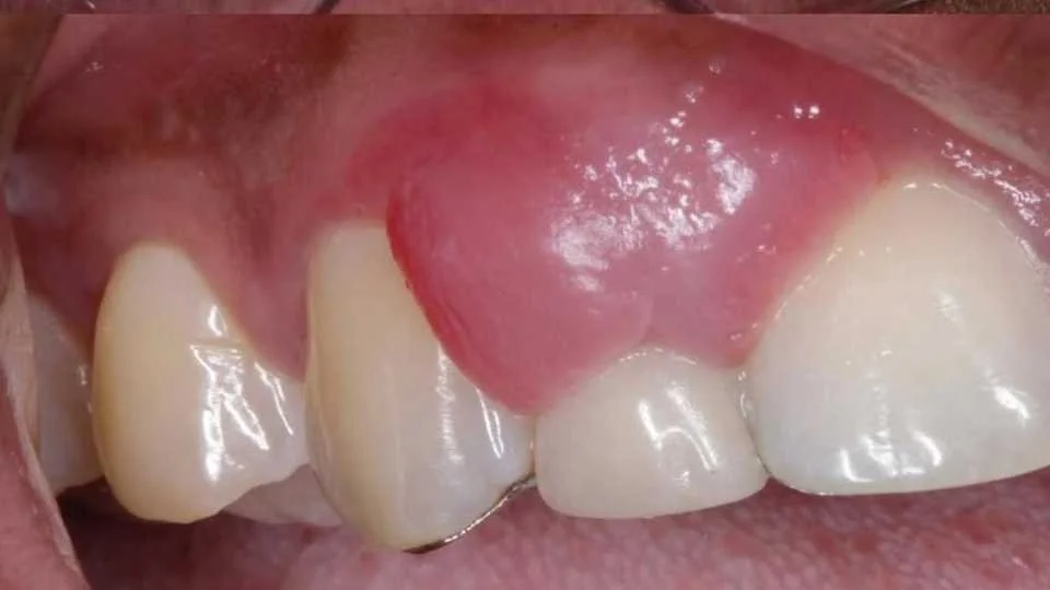
What Does “Gum Over Teeth” Mean?
Gum over teeth refers to a condition where excess gum tissue covers a large portion of the teeth, making them appear short or less visible while smiling.
It may be caused by:
- Excess gum growth
- Genetic factors
- Tooth eruption issues
- Improper gum-to-tooth ratio
At Mohan Dental Clinic, we provide customized treatments to restore proper balance between gums and teeth.
How Is Gum Over Teeth Corrected?
Treatment options include:
- Laser Gum Contouring – Removes excess gum tissue
- Gingival Recontouring – Reshapes gum line evenly
- Crown Lengthening – Exposes more tooth surface
- Dental Veneers – Improves tooth size and appearance
- Smile Design Treatment – Enhances overall smile balance
Our goal is to create a natural, well-proportioned, and attractive smile.
