Teeth Turning Yellow Treatment in Kukatpally & Kondapur
At Mohan Dental Clinic, we specialize in treating teeth turning yellow and restoring a bright, natural, and confident smile using advanced cosmetic dental solutions. Recognized as one of the best dental clinics in Hyderabad, with branches in Kukatpally and Kondapur, we provide safe, effective, and long-lasting treatments tailored to your needs.
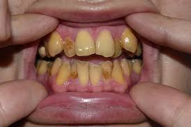
Teeth turning yellow is a common issue caused by poor oral hygiene, coffee, tea, smoking, aging, enamel wear, or lifestyle habits. Our expert dental team offers customized treatment plans, including professional teeth whitening, polishing, stain removal, and advanced cosmetic procedures to bring back your natural tooth color.
At our clinics in Kukatpally and Kondapur, Hyderabad, we focus on both aesthetic improvement and long-term oral health, helping you achieve a naturally white and healthy smile with complete comfort and care.
Why Choose Mohan Dental Clinic?
- Experienced Cosmetic Dentists
- Advanced Digital Smile Design Technology
- Personalized Treatment Plans
- Painless & Comfortable Procedures
- Affordable Pricing Options
- Clinics located in Kukatpally & Kondapur
PRE-SURGERY SUGGESTIONS
- Maintain proper oral hygiene (brush & floss daily)
- Avoid smoking and tobacco
- Reduce intake of coffee, tea, and colored foods
- Get professional dental cleaning if advised
- Inform your dentist about sensitivity
- Avoid using random whitening products
POST-TREATMENT CARE
- Avoid staining foods and drinks for 48 hours
- Do not smoke or use tobacco
- Maintain good oral hygiene
- Use a soft-bristled toothbrush
- Follow dentist’s instructions carefully
- Schedule regular dental check-ups
What Does “Teeth Turning Yellow” Mean?
Teeth turning yellow refers to the gradual change in tooth color, where teeth lose their natural whiteness and start appearing yellow or dull over time.
This usually happens due to:
- Food and beverages (coffee, tea, soft drinks)
- Smoking and tobacco use
- Poor oral hygiene
- Aging and enamel thinning
- Plaque and tartar buildup
At Mohan Dental Clinic, we identify the exact cause and provide the most effective treatment to restore your natural smile.
Why Do You Need Treatment for Teeth Turning Yellow?
Brown spots can affect your smile appearance and confidence, even if your teeth are otherwise healthy.
You may need treatment if you have:
- Visible brown patches or stains on teeth
- Uneven tooth color
- Spots that don’t go away with brushing
- Early signs of tooth decay
- Low confidence due to smile appearance
